The BRICS Wall of Protection: What South Africa’s Patent Policy Means for the Future of National Health
BY ALEXANDER WARD. In 2001, the Doha Declaration guaranteed flexibility of public health initiatives within the WTO’s Agreement on Trade Related Aspects of Intellectual Property Rights (TRIPS). Included in the new legislation is the right for countries to issue compulsory licenses (CLs) for life-saving drugs, outline country-specific terms for the acquisition of these licenses, and…
Ghana: The Evolving Problem of Mental Health
BY ALY MOORE.Photography and Graphics by Aly Moore. In 2005, only 32,875 people were hospitalized or given outpatient consultations in Ghana, representing a 98% treatment gap. Although mental, neurological, and substance use disorders combine for up to 13% of the global burden of disease, only an estimated 3.6% of Ghana’s current health budget is allocated…
Spina Bifida in Kenya: Beyond the Case Studies
BY MILLIE CHAPMAN.Graphics by the Center for Disease Control. Spina bifida is a neurological disorder caused by the incomplete closing of the neural tube during embryonic development. It can lead to paralysis, abnormalities of the cerebellum, and orthopedic problems, among others. There is a high rate of Spina bifida in Kenya, where I spent this…
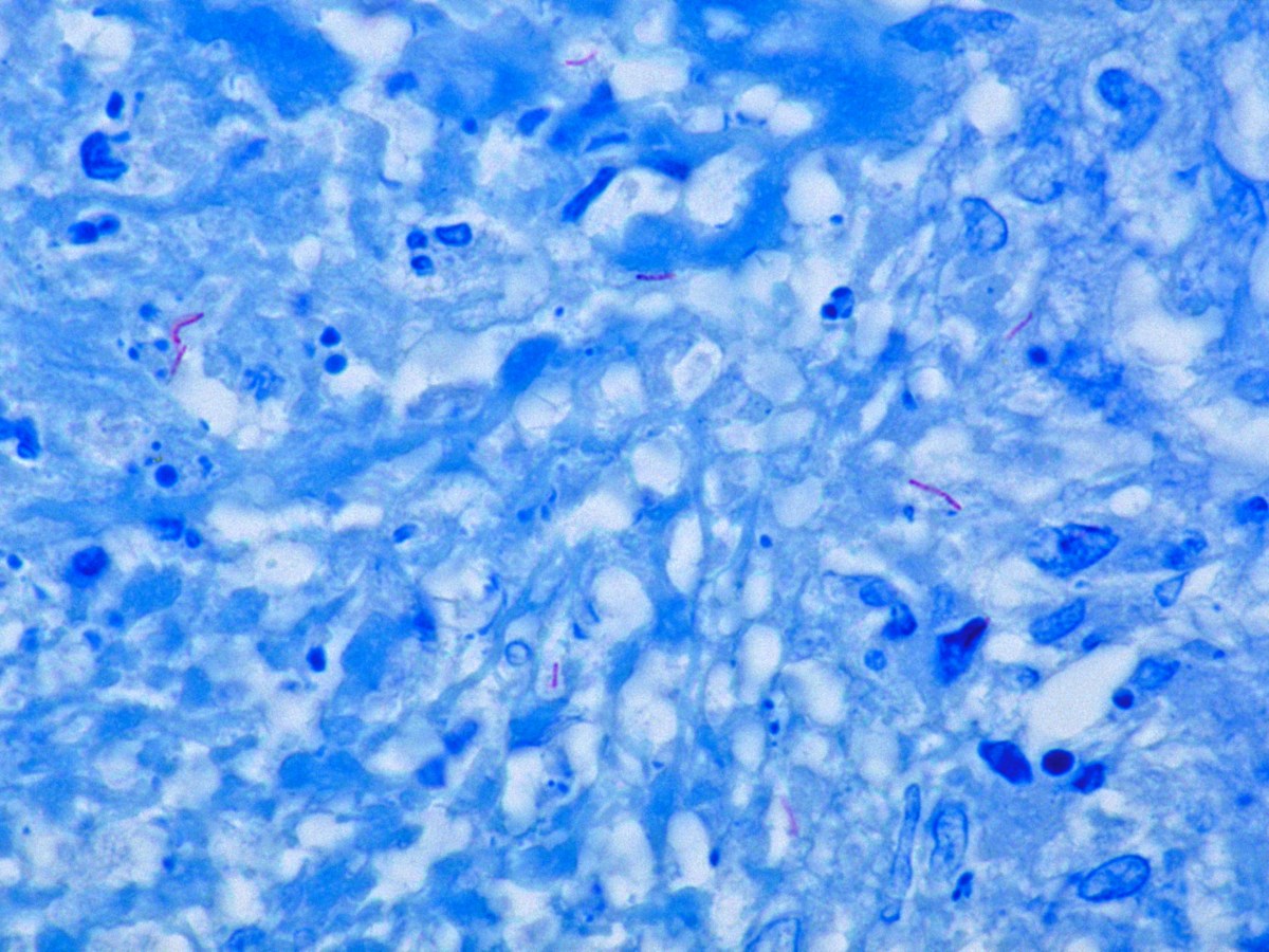
The Interdisciplinary Investments: Collaboration in Global Health
BY THERESA OEI.Photography by Janice Car for the CDC, and the NIAID. The global health field is, by nature, interdisciplinary. It encompasses technological innovation, scientific research, medical care, policy making, and economic development. Non-Governmental Organizations (NGOs) and Non-Profit Organizations (NPOs), however, typically address only one or two of these issues in an attempt to impact…
Educating Leaders Around the World
BY ELISABETH GEORGE AND SHIRIN AHMED, Yale GHLI.Photography by GHLI. Although often overlooked, effective leadership and management are critical to strengthening health systems and achieving large-scale goals. The Yale Global Health Leadership Institute (GHLI), led by Elizabeth H. Bradley, PhD and Michael Skonieczny, MPA, develops leadership through education and research programs that strengthen health systems…
Life Off the Map
BY SAWSAN ZAHER, 2013 Yale World Fellow and director of social economic rights unit at Adalah, the Legal Center for Arab Minority Rights in Israel.Photography by Adalah. In June 2013, the Israeli Supreme court ruled to dismiss a multilateral petition to cancel a health access-limiting provision of the National Insurance Law. This petition was submitted…
Honduras: Impacting Public Health Through Development
BY LAUREN WESTON.Photography by Lauren Weston. I did not know what public health development work meant when I left for Honduras in March; and I am not sure most of the people on my trip knew either. We were Global Public Health Brigade volunteers that would spend a week in the rural village of El…
Beyond ARVs: Prescribing Housing to end AIDS in New York City
BY JULIET GLAZER.Photography by Ginny Schubert. The relationship between homelessness and health has been widely documented. One aspect of this relationship came to light in the late 1980s as the fight against the AIDS virus began. According to the Centers for Disease Control, people who are homeless are far more likely to be HIV positive.…
Cuba: Agricultural Reform in the Special Period
BY JESSICA A. LOPEZ.Photography by Kara Sheppard-Jones and Adam Jones. Cuba’s economic crisis in the 1990’s, known as the Special Period, saw the enactment of the most concentrated health reforms in a single decade. These reforms were prompted by the 1989 collapse of the Soviet block; Cuba’s most important trading partner at the time. Imports decreased…
Global Health Spectrums: Nutrition, Disease, and Student Intern Impact
BY HILARY ROGERS.Photography by Hilary Rogers. This year’s Global Health Leadership Institute’s annual conference was held during the first week of June 2013. GHLI invited four teams from Brazil, Ghana, Trinidad & Tobago, and Uganda, each team made up of health and government professionals. The teams came to Yale with a particular health issue that…
Rethinking Priorities in Global Health: Focusing on Quality of Care at WALIMU
BY ELIJAH GOLDBERG.Photography by Walimu. A couple of years ago I was fortunate enough to meet a talented group of doctors from Uganda and the United States who have dedicated their lives to the study of severe illness. Together, these doctors and I formed Walimu, a non-profit organization that works to improve the quality of…
Turkey: The Path to Healthy Governance
BY CODY KAHOE.Photography by Cody Kahoe. In times of crisis and catastrophe, civilians are accustomed to heeding the advice of the medical community, often on matters extending beyond health. An aura of intellectual honesty and altruism seems to divorce the medical community from political bias and self-interest. However, the conduct of the Turkish medical community…
Q&A with Elizabeth Bradley and Lauren Taylor: Authors of The American Healthcare Paradox
BY AUSTIN JASPERS.Photography from ‘The American Healthcare Paradox.’ Austin Jaspers: How did your collaboration on The American Health Care Paradox begin? Lauren Taylor: The book really started with a peer review article back in 2010 that examined health and social service expenditures in 34 OECD countries. It reframed the conversation around health care investment in…
Q&A with Meredith Mira: UCS Global Health Advisor
BY ANEESA NOORANI.Photography by Yale Undergraduate Career Services. Meredith Mira 1. What are the benefits of doing global health fieldwork? What types of experiences should students be seeking for exposure to the field? My answer to this question stems from my doctoral degree in the sociology of education, where I studied how students from various…
